AskTheDentist Clinics

At AskTheDentist Clinics, we combine modern dental technology with compassionate care to deliver healthier, brighter smiles. From preventive checkups to advanced treatments, our team is dedicated to making every visit comfortable and stress-free.

Contact Us

  • Address: Yemetu St, Adeoyo Road, Agbadagbudu Area, Ibadan 200113, Oyo State

  • Email: hello@askthedentisticlinics.com

  • Call: (234) 905 188 5390

AskTheDentist Clinics
AskTheDentist Clinics logo-fixed
  • Home
  • Blog
  • About Us
  • Contact us
Book An Appointment
AskTheDentist Clinics
  • Home
  • Blog
  • About Us
  • Contact us
AskTheDentist Clinics logo-fixed
  • Home
  • Blog
  • About Us
  • Contact us
Book An Appointment
AskTheDentist Clinics
  • Home
  • Blog
  • About Us
  • Contact us
pagetitle

Why Oral Health Matters: Key Benefits & Tips

AskTheDentist ClinicsAsk The Dentist Clinics Insider No Comments
18 Mar

Introduction

Oral health is an essential part of overall well-being, yet many people still underestimate its importance. In many Nigerian cities, including Ibadan, oral diseases remain common due to delayed dental visits, poor oral hygiene habits, and limited awareness about preventive dental care.

Research consistently shows that early dental care can prevent most oral health problems before they become serious. Unfortunately, many people only visit the dentist when they are already experiencing pain or severe infection. Understanding the most common oral health problems and why early dental care matters can help individuals protect their smiles and overall health.

What Research Says About Oral Diseases
Oral diseases affect the teeth, gums, and supporting tissues in the mouth. Studies across Nigeria reveal that the most common oral diseases are tooth decay (dental caries) and gum disease (periodontal disease).

These conditions often develop gradually and may not show symptoms in their early stages. Because of this, many people remain unaware that they have a dental problem until it becomes severe.

Common Oral Health Problems Among People in Ibadan
Residents in Ibadan commonly experience several oral health issues. Many of these conditions are preventable with proper dental care and regular check-ups.

Challenges to Oral Health in Ibadan

Despite growing awareness, several challenges continue to affect oral health in Ibadan. Limited access to affordable dental clinics means many residents delay treatment until problems become severe. Cultural beliefs and fear of dental procedures also discourage people from seeking care early. In addition, the high consumption of sugary foods and drinks, combined with irregular brushing habits, increases the risk of tooth decay and gum disease. Addressing these challenges requires both improved healthcare infrastructure and stronger public education campaigns.

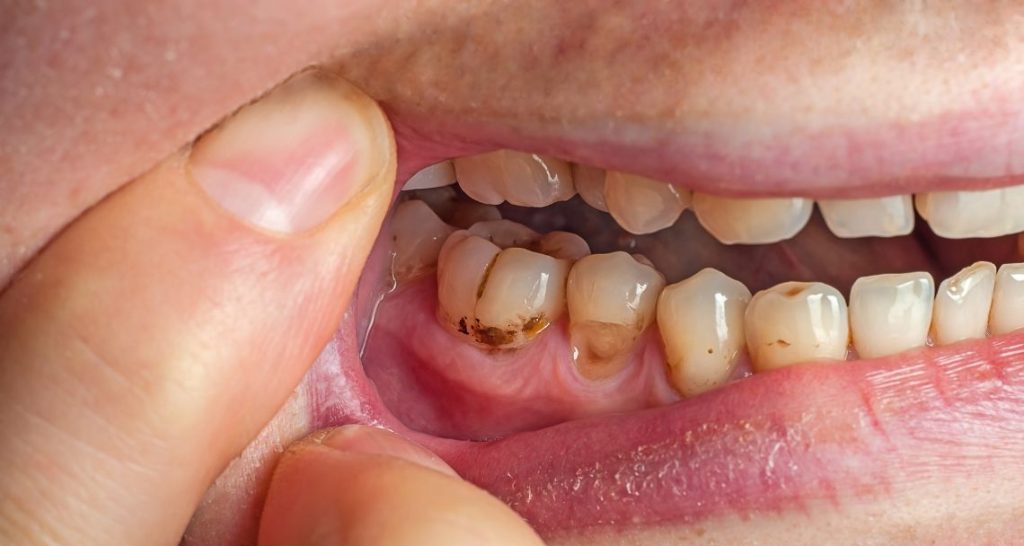
Tooth Decay (Dental Caries)
Tooth decay occurs when bacteria in the mouth produce acids that gradually destroy tooth enamel. Common causes include sugary foods and drinks, poor brushing habits, and lack of regular dental visits. If untreated, cavities can lead to severe pain and infection.

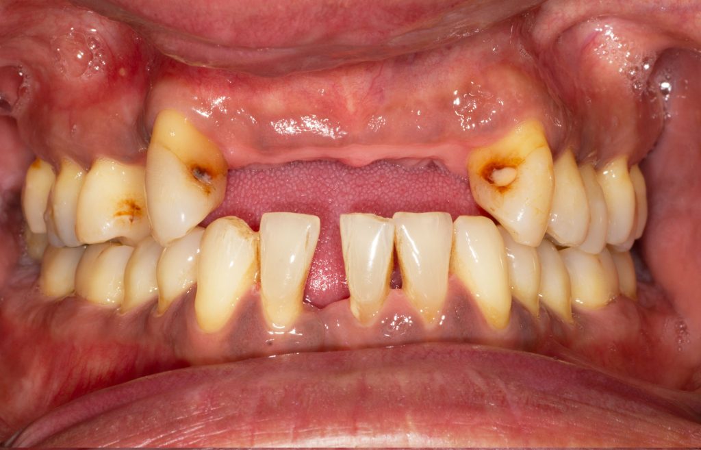
Gum Disease (Gingivitis and Periodontitis)
Gum disease begins with gingivitis, which causes redness, swelling, and bleeding of the gums. If untreated, it can progress to periodontitis, a serious infection that damages the tissues supporting the teeth.

Tooth Loss
Tooth loss often occurs when cavities or gum disease are left untreated. Many people only visit the dentist when the condition becomes severe, leaving extraction as the only option.

Dental Fluorosis
Dental fluorosis occurs when children consume excessive fluoride while their teeth are developing. This condition usually appears as white or brown discoloration on the teeth.

Misaligned Teeth (Malocclusion)
Malocclusion refers to crooked or poorly aligned teeth. This condition can make brushing difficult and increase the risk of tooth decay and gum disease.

Why Early Dental Care Changes Everything
Early dental visits allow dentists to detect oral health problems before they become serious. Preventive treatments such as scaling and polishing, fluoride treatments, and routine dental check-ups help maintain healthy teeth and gums.

When Should You Visit a Dental Clinic?
Dentists recommend visiting the dental clinic at least twice a year for routine check-ups. You should also see a dentist immediately if you experience toothache, bleeding gums, persistent bad breath, or tooth sensitivity.

The Role of Oral Health Education in Ibadan

Improving oral health in Ibadan requires more than just regular dental visits it also depends on consistent, community-wide education and awareness. Many residents are unaware of the long-term consequences of untreated oral diseases, and misconceptions about dental care often prevent people from seeking help early. Schools, religious institutions, and local health campaigns can play a vital role in teaching children and adults about proper brushing techniques, the dangers of excessive sugar consumption, and the importance of routine dental check-ups. By raising awareness and promoting preventive practices, communities can significantly reduce the prevalence of oral diseases and encourage healthier habits that last a lifetime.

Conclusion
Oral diseases remain common in many Nigerian communities, including Ibadan. However, most of these problems are preventable through proper oral hygiene and regular dental visits. Seeking dental care early helps prevent complications, saves money, and protects overall health.

Share

Leave A comment Cancel reply

Recent News

  • 06 April 2026
    Gum Disease: The Silent Threat to Your Smile
  • 06 April 2026
    Braces vs Invisalign: Which Saves You More Money?
  • 06 April 2026
    What to Know Before Getting Dental Braces
Popular Tags

Related articles

Get the latest insights, expert tips, and updates to stay informed and inspired.

AskTheDentist Clinics

Gum Disease: The Silent Threat to Your Smile

Gum disease often has no pain until it’s too late. Learn why periodontitis is a silent threat and how to protect your smile and overall

AskTheDentist Clinics

Braces vs Invisalign: Which Saves You More Money?

Comparing the costs of metal braces vs. Invisalign? Discover the hidden expenses, time-saving benefits, and long-term value of each treatment to find the best fit.

AskTheDentist Clinics

What to Know Before Getting Dental Braces

Thinking about a smile transformation? Discover the 8 essential factors to consider before getting dental braces in Nigeria, from costs to lifestyle changes. Introduction: Your

Newsletter Subscribe

Subscribe our newsletter to get more updates

logo

At AskTheDentist Clinics, we are committed to delivering compassionate, high-quality dental care for patients of all ages. From preventive and cosmetic treatments to advanced restorative solutions, our goal is to help you achieve and maintain a healthy, confident smile.

Book An Appointment

Community

  • Home
  • Blog
  • About Us
  • Contact us

Services

  • Preventive Dentistry
  • Cosmetic Dentistry
  • Restorative Dentistry
  • Orthodontics & Aligners
  • Pediatric Dentistry
Our Location

Yemetu St, Adeoyo Road, Agbadagbudu Area, Ibadan 200113, Oyo State

Support

Email Us : hello@askthedentistclinics.com

Phone no : (234) 905 188 5390

Schedule Hours
Monday – Friday 09am - 05pm

Saturday 09am - 04pm
©AskTheDentist Clinics, All rights reserved
  • Privacy policy
  • Terms & Conditions
  • FAQs