Gum disease often has no pain until it’s too late. Learn why periodontitis is a silent threat and how to protect your smile and overall health.

Introduction: The Enemy You Don’t Feel
In the dental world, pain is usually the signal that something is wrong. A sharp ache from a cavity or a throb from an abscess sends most people straight to the dentist. However, the most destructive condition in oral health Periodontal Disease is notoriously quiet. It is often called the “silent threat” because it can progress to advanced stages without causing a single moment of significant pain. By the time many patients notice something is wrong, the damage to the bone structure is often irreversible.
The Progression: From Gingivitis to Periodontitis
Gum disease is a bacterial infection that moves through distinct stages.
- Gingivitis: This is the early stage. Your gums may look red or puffy and might bleed when you brush or floss. At this point, the infection is completely reversible with professional cleaning and better home care.
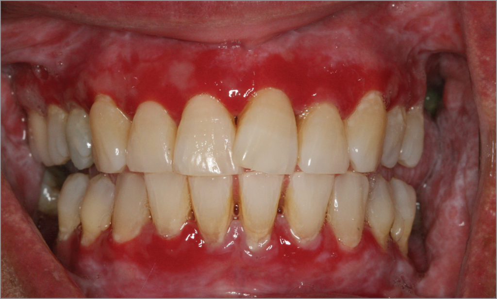
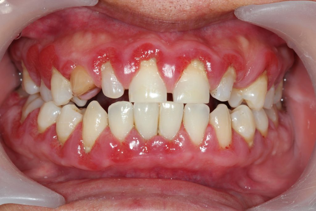
- Periodontitis: If left untreated, the infection spreads below the gum line. The gums pull away from the teeth, forming “pockets” that trap more bacteria. Your immune system fights back, but in the process, it starts to break down the bone and connective tissue that hold your teeth in place.

Why is it “Silent”?
The danger of gum disease lies in its subtlety.
- Lack of Pain: Unlike a cavity, infected gums usually don’t hurt.
- Slow Recession: Your gums may recede so slowly that you don’t notice your teeth looking “longer” until it’s quite advanced.
- Masked Symptoms: For smokers, the “bleeding” sign is often hidden because nicotine constricts blood vessels, making the gums look falsely healthy.
The Systemic Connection: Beyond the Mouth
Gum disease isn’t just a mouth problem; it is a whole-body health crisis. The bacteria in your gums can enter your bloodstream through inflamed tissue, contributing to:
- Heart Disease: The chronic inflammation of periodontitis is linked to clogged arteries and an increased risk of stroke.
- Diabetes: Gum disease can make it significantly harder to control blood sugar levels, creating a dangerous cycle for diabetics.
- Pregnancy Complications: Advanced gum disease has been linked to premature births and low birth weight.
Identifying the Warning Signs
While it may be “silent,” there are clues if you know where to look:
- Persistent bad breath (Halitosis) that doesn’t go away with mouthwash.
- Gums that bleed easily during brushing or eating.
- A “metallic” taste in the mouth.
- Teeth that feel slightly loose or shift when you bite down.
Prevention: Your Best Defense
Because you can’t always feel gum disease, professional intervention is mandatory. A dentist uses a special tool to measure the “pockets” around your teeth. Catching a 4mm pocket early allows for a non-surgical deep cleaning (Scaling and Root Planing). Waiting until the pocket is 8mm may require surgery or extraction. Regular checkups every six months are your best shield against this silent progression.
Secure Your Oral Foundation
Your gums are the foundation of your teeth. You wouldn’t ignore a cracking foundation in your home; don’t ignore it in your mouth. Protecting your gums is one of the most important things you can do for your long-term health and your smile.
Book your dental appointment with AskTheDentist Clinics now +234 903 596 9039 or +234 905 188 5390.