
Veneers vs. teeth whitening — which is the best solution for achieving a brighter, more confident smile? A radiant smile can transform everything from first impressions to self-esteem. But with so many cosmetic dental options available today, it can be difficult to know which one suits your needs best.
At AskTheDentist Clinics, two of the most popular smile-enhancing treatments we offer are veneers and professional teeth whitening. While both improve the appearance of your smile, they serve different purposes and suit different needs.
In this guide, we’ll walk you through the key differences, benefits, and considerations of veneers vs teeth whitening, so you can make an informed decision based on your smile goals.
What Are Veneers?
Dental veneers are ultra-thin shells made from porcelain or composite material that are bonded to the front surface of teeth to enhance their appearance. Many patients looking for veneers choose this treatment when they want a complete smile transformation.
Veneers are commonly used in cosmetic dentistry to correct multiple aesthetic issues at once, giving patients a uniform, bright, and natural-looking smile.

What Veneers Fix:
- Severely stained or discolored teeth that whitening cannot improve
- Chipped or cracked teeth
- Gaps between teeth
- Uneven or worn teeth
- Mildly misaligned teeth
- Teeth that appear too small or irregularly shaped
Benefits of Veneers:
- Dramatically improve the shape and color of your smile
- Long-lasting results that can last 10–15 years or longer
- Stain-resistant, especially porcelain veneers
- Natural-looking results that mimic real teeth
- Ideal for complete smile makeovers
Things to Consider:
- Usually requires minimal enamel preparation
- More expensive than teeth whitening
- Typically requires two dental visits
- Veneers are considered a long-term cosmetic solution
Patients seeking veneers often choose this treatment when they want a perfectly balanced and symmetrical smile.
What Is Teeth Whitening?

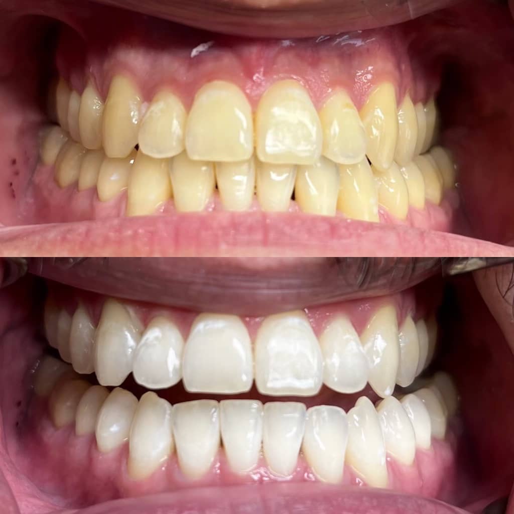
Professional teeth whitening is a cosmetic dental procedure designed to lighten the color of natural teeth and remove stains. Many patients searching for teeth whitening prefer professional whitening because it delivers faster and more noticeable results than over-the-counter products.
At a dental clinic, whitening treatments use clinically approved whitening agents that safely brighten your teeth in a short time.
What Whitening Helps With:
- Yellow or dull teeth
- Coffee and tea stains
- Smoking or tobacco stains
- Age-related discoloration
- Mild surface staining
Benefits of Teeth Whitening:
- Quick and non-invasive procedure
- Noticeably whiter teeth in one appointment
- Affordable cosmetic dental treatment
- No permanent alteration to teeth
- Boosts confidence and smile brightness
Things to Consider:
- Results are not permanent
- May require periodic touch-ups
- Less effective for deep or intrinsic stains
- May cause temporary tooth sensitivity
For many people searching online for professional teeth whitening in Ibadan, this treatment is the quickest way to refresh their smile.
Veneers vs Teeth Whitening: A Side-by-Side Comparison
| Feature | Veneers | Teeth whitening |
| Main Purpose | Improve colour, shape, and alignment | Improve tooth colour |
| Treatment Method | Thin shells bonded to teeth | Whitening gel applied to teeth |
| Number of Visits | Usually 2 appointments | Often completed in 1 visit |
| Longevity | 10-15 years or longer | 6 months to 2 years |
| Cost | Higher investment | More affordable |
| Ideal For | Multiple cosmetic concerns | Stained or yellow teeth |
When comparing veneers vs teeth whitening, the main difference lies in the extent of the smile transformation. Veneers correct several cosmetic concerns at once, while whitening focuses purely on brightening teeth.
Veneers vs Teeth Whitening: Which Should You Choose?
Choosing between veneers and teeth whitening depends on your smile goals and the condition of your teeth.
If your teeth are healthy but discolored from coffee, tea, or smoking, professional teeth whitening may be the best solution.
However, if you want to correct stains, chips, gaps, or uneven teeth, veneers may provide the most dramatic improvement.
A consultation with a cosmetic dentist will help determine the best treatment for your smile.
Choose Veneers if:
You may be a good candidate for veneers if you:
- Have deep stains that whitening cannot remove
- Want to correct chips or cracks
- Have gaps or uneven teeth
- Desire a complete smile makeover
- Want a long-lasting cosmetic solution
Choose Teeth Whitening if:
You may benefit from teeth whitening if you:
- Have healthy teeth with surface stains
- Want a quick smile improvement
- Prefer a non-invasive cosmetic treatment
- Want a more affordable cosmetic option
- Simply want brighter, whiter teeth
Can You Combine Veneers and Teeth Whitening?
Yes, many patients combine veneers and teeth whitening to achieve the best aesthetic results.
We recommend whitening natural teeth first before placing veneers. This allows veneers to be matched to your new brighter shade, ensuring your entire smile looks consistent.
Combining both treatments can create:
- A brighter overall smile
- Perfectly shaped front teeth
- A more balanced and natural appearance
Ready to Choose the Best Smile Solution in Ibadan?
If you’re deciding between veneers vs teeth whitening, the best step is to schedule a consultation with a qualified cosmetic dentist who can evaluate your smile and recommend the most suitable treatment.
At AskTheDentist Clinics, we provide advanced cosmetic dentistry in Ibadan, including professional teeth whitening and custom veneers designed to enhance your natural smile.
Whether you want a quick whitening treatment or a complete smile transformation, our dental team is here to help.
Book your consultation today and discover the best smile solution for you.