Tooth decay is one of the most common dental problems affecting Nigerians of all ages. Fortunately, modern dentistry offers effective solutions such as tooth fillings to restore damaged teeth and prevent further complications. If you’re searching for tooth filling cost in Nigeria, understanding your options, prices, and types of fillings can help you make an informed decision for a healthier smile.
What Is a Tooth Filling?
A tooth filling is a dental procedure used to repair cavities, cracks, or minor fractures in the teeth. During the procedure, a dentist removes the decayed portion of the tooth, cleans the area, and fills it with a suitable material to restore its function and structure.

Average Tooth Filling Cost in Nigeria
– Amalgam fillings: ₦10,000 – ₦25,000 per tooth
– Composite (tooth-colored) fillings: ₦20,000 – ₦50,000 per tooth
– Gold fillings: ₦50,000 – ₦150,000 per tooth
– Ceramic (porcelain) fillings: ₦40,000 – ₦120,000 per tooth
Types of Tooth Fillings in Nigeria
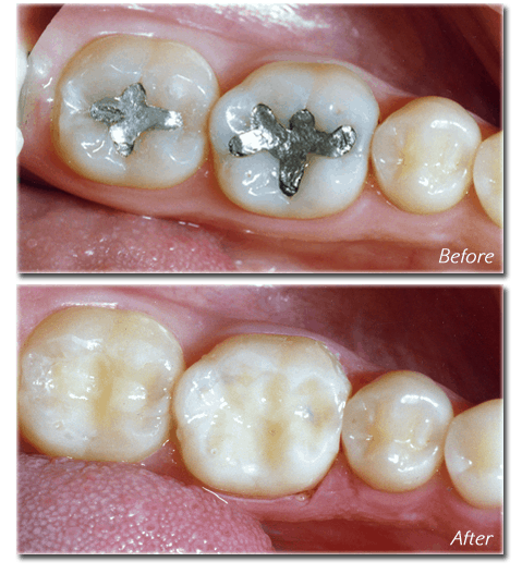
- Amalgam Fillings (Silver Fillings)
- Composite Fillings (Tooth-Colored Fillings)
- Ceramic (Porcelain) Fillings
- Gold Fillings
- Glass Ionomer Fillings

Factors That Affect Tooth Filling Prices
- Type of material
- Size and severity of the cavity
- Location of the clinic
- Dentist’s expertise
Why You Should Not Delay a Tooth Filling
Ignoring a cavity can lead to severe tooth pain, infection, tooth loss, and more expensive procedures like root canals.
How Long Do Tooth Fillings Last?
- Amalgam: 10–15 years
- Composite: 5–10 years
- Gold: 15+ years
Conclusion
Understanding the tooth filling cost in Nigeria helps you plan your dental care effectively. With different options available, there is a solution for every budget and need. Early treatment will save costs and protect your oral health.